Grade 2 Ulnar Collateral Ligament Sprain / Torn Ligament cast : Repetitive throwing motions or overload or stress on a valgus from repetitive pitching or throwing?

Grade 2 Ulnar Collateral Ligament Sprain / Torn Ligament cast : Repetitive throwing motions or overload or stress on a valgus from repetitive pitching or throwing?. Ulnar collateral ligament injury commonly occurs in throwing athletes and may accompany an injury to the overlying common flexor tendon. It is attached on one side to the humerus (the bone. (severe sprain or partial tear) high signal is seen medial to the ligament, with high signal or partial disruption of the ligament. 15 ulnar collateral ligament sprain grade ii: Grade ii occurs when the ligament fibers have been partially torn.

Ulnar collateral ligament injuries can occur during certain activities such as overhead baseball pitching. Ulnar collateral ligament injury commonly occurs in throwing athletes and may accompany an injury to the overlying common flexor tendon. Ulnar collateral ligament injury of the elbow is a sprain (tear) of one of the ligaments on the inner side of the elbow. 6 stener lesion proximal distal in order for a stener. It is attached on one side to the humerus (the bone.

Full text Evaluation and Management of Hand, Wrist and ...
Full text Evaluation and Management of Hand, Wrist and ... from www.dovepress.com
Whats the most common moi for a ulnar collateral ligament sprain? Related online courses on physioplus. Medial collateral ligament sprain grade ii. Are you referring to cubital tunnel syndrome where compression of your ulnar nerve is causing pain, tingling, numbness or weakness into the hand? Good prognosis with return to functional activities and sport following a structured rehabilitation program including strengthening and proprioception.5 grade iii: 2 collateral ligaments joint capsule reinforced both radially and ulnarly by proper collateral ligament (pcl) arise from mc head obliquely distally 5 skier s thumb gamekeepers thumb ulnar collateral ligament. The ulnar collateral ligament (ucl) complex includes the ulnar proper collateral ligament and the ulnar accessory collateral ligament 1. Causes include sports injuries and accidents.

The knee ligament partially tears.

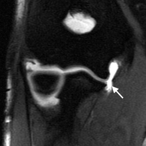
An injury to the ucl may take the form of either an incomplete tear (a grade. Wint on torn ulnar collateral ligament elbow: Injury to these medial stabilizing structures is typically caused by chronic microtrauma from repetitive valgus stress during the acceleration phase of throwing. Incomplete tear of a ligament with moderate functional impairment moderate pain and swelling mild to moderate bruising tenderness over involved structures some loss of motion and function mild to moderate instability. Treatment involves anatomic repair or reconstruction which reliably. Ulnar collateral ligament injury of the elbow is a sprain (tear) of one of the ligaments on the inner side of the elbow. The ulnar collateral ligament (ucl) can become stretched, frayed or torn through the stress of repetitive throwing motions, causing ulnar collateral ligament injuries. Ulnar collateral ligament injury commonly occurs in throwing athletes and may accompany an injury to the overlying common flexor tendon. (severe sprain or partial tear) high signal is seen medial to the ligament, with high signal or partial disruption of the ligament. (minor sprain) high signal is grade 2: Ulnar collateral ligament sprains are serious elbow injuries and must be treated correctly in order to be able to return to your sports activities. Professional pitchers have been the athletes treated most often for this problem. Lateral ulnar collateral ligament tear with posterolateral rotatory instability of the elbow.

These laxity of the ucl is the key finding on examination. Conventional mri and mr arthrography are the imaging modalities of choice ligament injuries can be classified into three grades. A _ _ common than an mcl sprain, but management should be the same as an mcl sprain. Ligament injuries are graded as follows: This motion is common in sports that the ulnar collateral ligament complex is located on the inside of the elbow (pinky or medial side).

MR imaging of ulnar collateral ligament injury in baseball ...
MR imaging of ulnar collateral ligament injury in baseball ... from els-jbs-prod-cdn.jbs.elsevierhealth.com
Medial collateral ligament sprain grade ii. The ulnar collateral ligament of the elbow is most often injured by repeated stress from overhead movement. 6 stener lesion proximal distal in order for a stener. Whats the most common moi for a ulnar collateral ligament sprain? Garde ii lateral collateral ligament sprain. Symptoms can include moderate pain, swelling, knee instability, and difficulty using the joint. The ulnar collateral ligament (ucl) is a structure that helps keep the normal relationship of the upper arm bone (humerus) and the one of the forearm bones (ulna). Ligament injuries are graded as follows:

Successful treatment often yeilds excellent results.

The ulnar collateral ligament of the elbow is most often injured by repeated stress from overhead movement. This injury represents an incomplete (grade ii) or a complete (grade iii) rupture of the collagen fibers which connect the ends of the femur (thigh bone) and although uncommon, associated injury to the knee cartilages (medial meniscus or lateral meniscus) or to the acl (anterior cruciate ligament) may. Gery to repair the ligament. The lateral ulnar collateral ligament is the most important in terms of stability. Thumb collateral ligament ruptures, most commonly ulnar collateral (ucl), are athletic injuries that lead to a decrease in effective thumb pinch and grasp. Repetitive throwing motions or overload or stress on a valgus from repetitive pitching or throwing? I or ii sprain), or a complete rupture (grade iii sprain). Garde ii lateral collateral ligament sprain. Lateral ankle injury assessment online course: A lateral collateral ligament (lcl) sprain occurs when there is a tear in the ligaments on the outside of the knee. Wint on torn ulnar collateral ligament elbow: (severe sprain or partial tear) high signal is seen medial to the ligament, with high signal or partial disruption of the ligament. Conventional mri and mr arthrography are the imaging modalities of choice ligament injuries can be classified into three grades.

The lateral ulnar collateral ligament is the most important in terms of stability. (severe sprain or partial tear) high signal is seen medial to the ligament, with high signal or partial disruption of the ligament. This injury represents an incomplete (grade ii) or a complete (grade iii) rupture of the collagen fibers which connect the ends of the femur (thigh bone) and although uncommon, associated injury to the knee cartilages (medial meniscus or lateral meniscus) or to the acl (anterior cruciate ligament) may. Which ligament is mostly injured by baseball players? Incomplete tear of a ligament with moderate functional impairment moderate pain and swelling mild to moderate bruising tenderness over involved structures some loss of motion and function mild to moderate instability.

Ulnar Collateral Ligament Injuries of the Thumb | Panther ...
Ulnar Collateral Ligament Injuries of the Thumb | Panther ... from panthersportsmedicine.com
Injury to these medial stabilizing structures is typically caused by chronic microtrauma from repetitive valgus stress during the acceleration phase of throwing. The knee ligament partially tears. It is attached on one side to the humerus (the bone. Whats the most common moi for a ulnar collateral ligament sprain? Usually this can be treated by decreasing the amount of time. Lateral ankle injury assessment online course: A _ _ common than an mcl sprain, but management should be the same as an mcl sprain. Garde ii lateral collateral ligament sprain.

Usually this can be treated by decreasing the amount of time.

Ulnar collateral ligament injury commonly occurs in throwing athletes and may accompany an injury to the overlying common flexor tendon. The knee ligament partially tears. Helpful, trusted answers from doctors: Gery to repair the ligament. The ulnar collateral ligament (ucl) complex includes the ulnar proper collateral ligament and the ulnar accessory collateral ligament 1. Medial collateral ligament (mcl) injuries are graded into three groups on mri, much in the same way as many other ligaments: Which ligament is mostly injured by baseball players? Treatment involves anatomic repair or reconstruction which reliably. Repetitive throwing motions or overload or stress on a valgus from repetitive pitching or throwing? Injury to these medial stabilizing structures is typically caused by chronic microtrauma from repetitive valgus stress during the acceleration phase of throwing. Medial collateral ligament sprain grade ii. Lateral ankle injury assessment online course: Professional pitchers have been the athletes treated most often for this problem.

A ligament is a strong band of tissue grade 2 ligament sprain. Grade ii lateral collateral ligament injury:

Comments